重塑您的健康与美丽,是我们的责任和义务!
基本信息:
范同学,22岁,在校大学生,通过网络预约就诊
患者主诉:
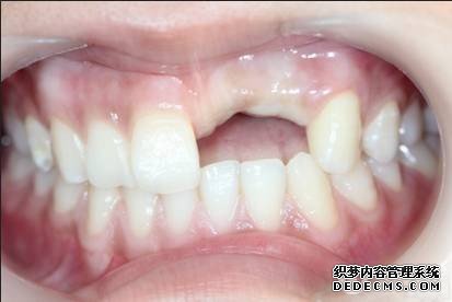
1、半年前和同学邀约一起溜冰,一不小心导致两颗门牙意外折断,牙缺失后不仅十分影响面部美观,还给吃饭、说话、人际交往等都造成了不小的影响,要求尽快修复。
2、出于美观考虑,要求修复后的牙齿逼真自然,与真牙颜色及形态保持一致。
临床诊断:
结合范小姐的脸型、肤色、牙色等,通过德国西偌德数字化全景机和3D数码定位系统,对患者的牙齿进行全面细致的检查,结果显示根尖无异常,牙槽骨无吸收现象,符合烤瓷牙修复适应症。与患者沟通后,选定德国3D烤瓷牙修复方案。

门牙缺失修复前

德国VITA比色

精确取模

电脑个性设计制作

烤瓷牙定制成型
戴入烤瓷牙冠
烤瓷牙修复完成
