牙周炎怎么治疗比较好?牙周炎是最普遍的口腔疾病之一,由于很多人忽视两了口腔健康,因此越来越多的人在为牙周炎苦恼,不知道该怎么办。那么,牙周炎该怎么治疗好呢?下面我们一起看下武汉爱齿尔口腔专家的介绍。
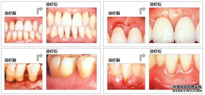
武汉爱齿尔口腔专家指出,牙周炎是一种侵犯牙龈组织的慢性炎症,对人体口腔有着很大的破坏性。牙周病的主要症状有:刷牙时或咬食物时牙龈出血,牙龈红肿、碰时易出血,牙面有牙石,有口臭,严重时还会出脓、齿根外露、牙齿松动甚至脱落。牙周炎严重时,半边头胀痛难忍,半边身体不适难忍。【】

治疗牙周炎的方法主要有以下几种:
一、手术治疗牙周炎。手术是治疗牙周炎的重要方法。对牙周炎患者,可以采用龈翻片术、袋内壁刮治术、龈切除等方法,消除牙周袋;对牙周脓肿可以进行切开引流等治疗。较严重的牙周炎可行龈翻瓣术,龈增生过度者可行增生龈切除术。
二、局部治疗牙周炎。爱齿尔专家表示,牙周炎在急性炎症过后,应该进行局部治疗,主要是彻底清除牙垢及牙菌斑,去除局部不良刺激因素对牙龈的影响。
三、抗生素治疗牙周炎。武汉爱齿尔口腔专家表示,对牙周炎的治疗还可以使用抗生素,主要是用口腔清洁剂、抗生素类溶液当漱口水,含漱。
四、中药治疗牙周炎。对于牙周炎怎么治疗的问题,爱齿尔专家指出还可以用中药进行治疗。中药治疗牙周炎主要是在急性炎症期间起到缓解症状的作用,之后再进行调理。

牙周炎患者大多为40岁以上的人群,年纪越大,发病率越高,几乎人人难于幸免,糖尿病人群也是高发病人群,牙周炎家族遗传性极高。所以一旦出现牙龈出血、牙龈红肿等症状就要及时就诊,建议选择正规专业的口腔医院,这样治疗效果才更有保障。【】
另外,牙周炎的预防是非常重要的,因此需注意日常口腔护理远离牙周炎困扰!
1、掌握正确的刷牙方法,早晚各一次,定期更换牙刷,以防牙刷毛藏匿细菌。
2、养成良好的口腔卫生习惯,饭后漱口,入睡时口中不宜含有食物。
3、多种牙膏交替使用,正确选择牙刷。
4、定期去专业口腔医院洁牙或做相关检查,早发现早治疗。
温馨提醒:以上就是对“牙周炎怎么治疗好”的相关介绍,希望可以给您带来一定的帮助,为了您的健康,请选择正规的医院进行治疗,以免给您的健康带来危害,武汉爱齿尔口腔数十年如一日专注口腔健康,多年来获得无数顾客的好评和信赖。如果还有其他疑问,请点击在线咨询专家,他们会针对您的疑问给出最专业和最详细的解答!
